Most advanced breast health imaging in Australia at Breast Health Imaging
Our Vision for You.
Breast Health Imaging at Breast Health Imaging leads the way by offering a comprehensive range of advanced imaging modalities, such as Koning Vera. Koning’s cutting-edge technologies empower our doctors to deliver precise diagnostic imaging and early detection of breast cancer, providing patients with the best possible outcomes.
• Comprehensive Breast Exam
• Cone Beam Breast CT (coming soon)
• Mammography with Tomosynthesis
• Contrast Enhancement
• MRI
• Ultrasound
• Fine Needle Aspiration
• Core Biopsy / VAB
• Radiologist Consultation
• On-Site Breast Surgeons & Nurses
What does it solve?
The Koning Vera breast CT provides a true 3D image of the breast, with the detector encircling the tissue, making it difficult for the cancer to hide.
This technology eliminates the issue of overlapping tissue, delivering clear and accurate images from every angle.
• Pain Free
• No Compression
• Comparable Radiation to mammography
• Whole Breast Coverage
• Breast Implant Safe
• High Definition Resolution
What does it solve?
The Koning Vera breast CT provides a true 3D image of the breast, with the detector encircling the tissue, making it difficult for the cancer to hide.
This technology eliminates the issue of overlapping tissue, delivering clear and accurate images from every angle.
• Pain Free
• No Compression
• Comparable Radiation to mammography
• Whole Breast Coverage
• Breast Implant Safe
• High Definition Resolution
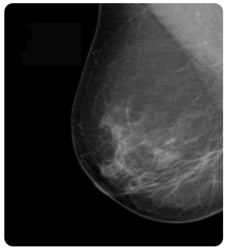
Comparison between the image of the same breast
Traditional Mammography
Revolutionary Cone Beam Breast CT

